導覽
X
首頁
醫院介紹
中心特色
醫師介紹
醫療核心價值
就醫程序
就醫程序
諮詢與聯絡
疝氣手術
疝氣種類
如何治療
手術方式
麻醉方式
注意事項
常見問題
其他手術快速診斷
男性結紮
切除包皮
精索靜脈曲張
乳房腫瘤微創手術
甲狀腺腫瘤微創手術
最新消息
最新消息
病患心得
媒體報導
影音專區
全方位預防醫學
預防醫學中心
生化雷射 ILIB
體外反搏 EECP
經顱磁刺激 RTMS
全方位點滴


線上回覆
醫療專線
填表預約
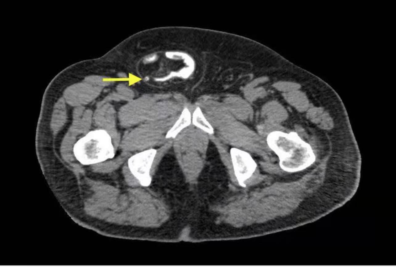
當我們遇上了「Amyand Hernia」
一個好的疝氣管理中心,就應該要有收治各式各樣的疝氣類型的本事,在全方位疝氣中心裡,總是會碰到一些奇奇怪怪罕見的病例。 做為一個專責的疝氣治療院所,千奇百怪的案例我們真的是看得多了,但中心的朱紀洪院長真的是百毒不侵,總是遇到疑難雜症款的疝氣,而這次的個案,罹患疝氣的名稱叫「Amyand Hernia」咦?你會以為疝氣不就是疝氣嗎?怎麼有那麼多花樣?!但不細說,還真的是個案數的大眾疝氣手術,會因體質、特殊病因性,而能見到一位外科醫師的真曉。 何謂Amyand Hernia? 其實這種疝氣才占了所有疝氣種類的1%都不到,而幾乎都是發生在男性。這樣解釋你可能還不是很清楚……如果說盲腸,可能大家就有點概念了,而Amyand Hernia 正式在疝氣囊裡面藏著盲腸,而我們全方位疝氣中心居然碰到了一位年輕男性罹患股溝疝氣併發盲腸炎,這個機率非常低,約0.07到0.13%而已,而我們中心的朱紀洪院長,靠著幾近完美的醫術和經驗,在手術前靠著小心診斷驗證,細心的評估檢查病人狀態,排除併發症的可能性,透過斷層掃描,再仔細判讀才發現他竟然碰到疝氣中的特案,且因為這讓手術的難度更是高升,還好透過朱院長精湛的手法和技巧,解決了病人的痛苦,也免除急性盲腸炎破裂,真是免除病人後續生命危險的可能性。

Copyright(C) 2013
宏恩醫療財團法人 宏恩綜合醫院
All Rights Reserved.
地址:台北市仁愛路四段61號
電話:0800-391-137 免付費電話
宏恩綜合醫院 全方位疝氣中心 未與其他疝氣診所聯盟, 請勿仿冒本中心